Γλοίωμα Εγκεφάλου

 

glioma gliomata neuroepistimes
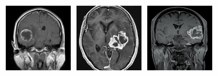
Το γλοίωμα είναι όγκος εγκεφάλου που αναπτύσσεται από τα νευρογλοιακά κύτταρα (τα κύτταρα που περιβάλουν τους νευρώνες). Είναι από τους πιο συχνούς όγκους του εγκεφάλου και εκδηλώνεται κλινικά με ποικίλα συμπτώματα όπως: κεφαλαλγία, ναυτία, έμετο, επιληπτικές κρίσεις, διαταραχές όρασης/ομιλίας/ακοής/κατάποσης, αστάθεια βαδίσεως κ.ά. Ανάλογα με το είδος των νευρογλοιακών κυττάρων από τα οποία προέρχονται διακρίνονται σε αστροκυτώματα, ολιγοδενδρογλοιώματα, επενδυμώματα ή σε μικτούς όγκους όπως τα ολιγοαστροκυτώματα. Με βάση την βιολογική τους συμπεριφορά διακρίνονται σε χαμηλού (I, II) ή υψηλού βαθμού (III, IV) κακοήθειας, που καθορίζει και την ταχύτητα με την οποία αναπτύσσονται αλλά και την πρόγνωσή τους. Η διάγνωση των γλοιωμάτων γίνεται κυρίως με την μαγνητική τομογραφία, ενώ η θεραπεία τους είναι κατά βάση χειρουργική και συνδυασμός ακτινοθεραπείας ή/και χημειοθεραπείας, όπου ενδείκνυται.

 

Pin It

© 2017 NEUROEPISTIMES.GR All Rights Reserved.

Developed by Venetikidis Ioannis