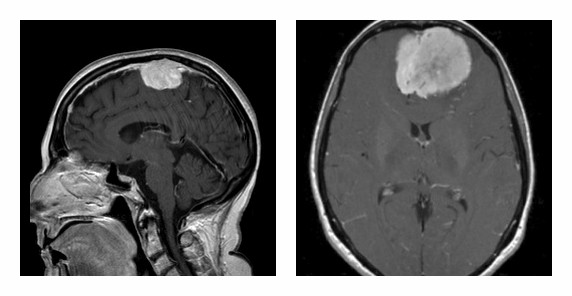
Μηνιγγίωμα Εγκεφάλου

Τα Μηνιγγιώματα του Εγκεφάλου είναι, ως επί το πλείστον, καλοήθεις όγκοι που προέρχονται από την αραχνοειδή μήνιγγα (ένα από τα περιβλήματα του εγκεφάλου) και παρουσιάζουν συνήθως αργό ρυθμό ανάπτυξης. Σε μεγάλο αριθμό ασθενών δεν προκαλούν συμπτώματα, όταν όμως γίνουν συμπτωματικά εκδηλώνονται συνήθως με κεφαλαλγία, αλλά και με άλλα συμπτώματα ανάλογα με την εντόπισή τους (ζάλη, έμετος, μυϊκή αδυναμία σε χέρι ή πόδι, διαταραχές οράσεως, όσφρησης, ακοής ή ομιλίας, ψυχικές/συναισθηματικές διαταραχές, επιληπτικές κρίσεις κ.ά.). Το μηνιγγίωμα διαγιγνώσκεται με απεικονιστικές εξετάσεις όπως αξονική και μαγνητική τομογραφία.
Τα μηνιγγιώματα είναι πιο συχνά σε γυναίκες μέσης ηλικίας (περίπου δύο φορές πιο συχνά από ότι στους άντρες). Στα ασυμπτωματικά μηνιγγιώματα (και κυρίως όταν έχουν μικρό μέγεθος) προτείνεται συνήθως η παρακολούθηση, ενώ σε συμπτωματικά μηνιγγιώματα η ενδεδειγμένη θεραπεία είναι η χειρουργική εξαίρεση. Συνδυαστικά με την χειρουργική αντιμετώπιση ή σε περιπτώσεις που λόγω της εντόπισής τους είναι δυσχερής η χειρουργική εξαίρεση, μπορεί να εφαρμοστεί η μέθοδος της στερεοτακτικής ακτινοχειρουργικής.
